Fig. 4. Targeted clearance of senescent cells in bone tissue alleviates chemotherapy-induced osteoporosis. (IMAGE)
Caption
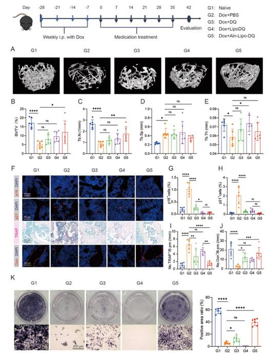
(A) Micro-CT (μCT) 3D images of the femur in each treatment group. Quantification of μCT-derived (B) bone volume fraction (BV/TV; %), (C) trabecular number (Tb.N; 1/mm), (D) trabecular separation (Tb.Sp; mm), (E) trabecular thickness (Tb.Th; mm). Immunofluorescent images of p16 (F, G) and p21 (F, H) expression in the femur with quantification (n = 6, scale bar is 50 μm). (F, I) Representative images of TRAP (osteoclast marker) staining and quantification analysis in femurs (n = 6, scale bar is 50 μm). (F, J) Immunofluorescent images of osteocalcin (Ocn, mature osteoblast marker) expression in the femur with quantification (n = 6, scale bar is 50 μm). Cells stained positively for markers are quantified as numbers per bone perimeter (B.pm). (K) ALP staining of BMMSCs from each treatment group after 14 days of osteogenic induction (n = 6, scale bar is 200 μm). *P < 0.05, **P < 0.01, ***P < 0.001 and ****P < 0.0001.
Credit
Rong Li, Yaohua Wei, Changhao Xiong, et al.
Usage Restrictions
Credit must be given to the creator. Only noncommercial uses of the work are permitted. No derivatives or adaptations of the work are permitted.
License
CC BY-NC-ND