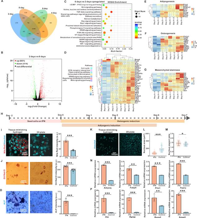
图4. IPN组织仿生水凝胶诱导细胞再生,增强双向分化潜能 (IMAGE) Research Caption 图4. IPN组织仿生水凝胶诱导细胞再生,增强双向分化潜能 Credit Copyright © 2025 Xueqing Ren et al. Usage Restrictions Credit must be given to the creator. License CC BY Disclaimer: AAAS and EurekAlert! are not responsible for the accuracy of news releases posted to EurekAlert! by contributing institutions or for the use of any information through the EurekAlert system.