Figure 2. Lactylation of ATP5F1A at K531 affects mitochondrial function (IMAGE)
Caption
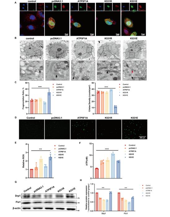
Figure 2. Lactylation of ATP5F1A at K531 affects mitochondrial function
Credit
Copyright © 2025 Tao Yu et al.
Usage Restrictions
Credit must be given to the creator.
License
CC BY
 
                