Anti-miR-378 lentivirus injection rescued ovariectomy induced bone loss in miR-378 Tg mice. (IMAGE)
Caption
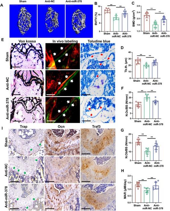
A. Three-dimensional reconstruction of trabecular bone in the distal metaphysis of miR-378 TG mice after anti-NC and anti-miR-378 mediated lentivirus injection. Scale bar, 100 μM. B-D. Microstructure parameters including bone volume/tissue volume (BV/TV) (B), bone mineral density (BMD) (C) and trabecular thickness (Tb.Th) (D) of the trabecular bone in different groups. E. Representative images of Von Kossa staining, in vivo double labels and Toluidine blue staining of femoral metaphysis. White arrow indicates the bone distance between two labeling which reflects the mineral apposition rate. Red arrow indicates the osteoblasts. Scale bar: 400 μM for Von Kossa, 100 μM for in vivo labeling and Toluidine blue staining. F-H. Histomorphometric analysis of distal femur sections including N.Ob/BS (G), N.Oc/BS (H) and MAR (I) (n=8; *p<0.05, **p<0.01, ***p<0.001). I. TRAP staining and IHC staining of femoral metaphysis using Ocn and Traf3 antibodies. Red arrow indicates the TRAP positive cells. Scale bar: 200 μM.
Credit
Lu Feng, Zhengmeng Yang, Nan Hou, Haixing Wang, Shanshan Bai, Xuan Lu, Yaofeng Wang, Sien Lin, Micky D. Tortorella, Gang Li
Usage Restrictions
Credit must be given to the creator. Only noncommercial uses of the work are permitted. No derivatives or adaptations of the work are permitted.
License
CC BY-NC-ND