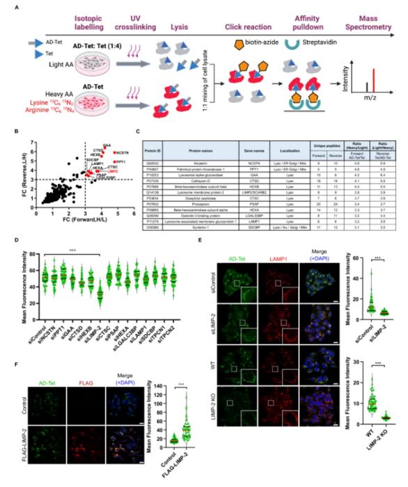
PolyU researchers uncover target and mechanism of Chinese medicine extract tetrandrine, paving the way for new treatments for viral infection and Alzheimer’s Disease (IMAGE)

The Hong Kong Polytechnic University

Disclaimer: AAAS and EurekAlert! are not responsible for the accuracy of news releases posted to EurekAlert! by contributing institutions or for the use of any information through the EurekAlert system.