Advanced Search
EurekAlert! Science News A service of the American Association for the Advancement of Science
EurekAlert! Science News A service of the American Association for the Advancement of Science
  • Home
  • News Releases
  • Multimedia
  • Meetings
  • Login
  • Register

Multimedia Images

The directionality of slow waves in the cerebral cortex depends on neuronal excitability and not only on anatomy.

The directionality of slow waves in the cerebral cortex depends on neuronal excitability and not only on anatomy....Universidad Miguel Hernandez de Elche

A study by the Institute for Neurosciences CSIC-UMH reveals how the brain organizes and directs its slowest activity

A study by the Institute for Neurosciences CSIC-UMH reveals how the brain organizes and directs its slowest activity...Universidad Miguel Hernandez de Elche

Mireka Caselius

Mireka CaseliusUniversity of Vaasa

Proposed assessment framework for liquid hydrogen storage systems in UAVs

Proposed assessment framework for liquid hydrogen storage systems in UAVs...Seoul National University of Science & Technology

Bmp9 knockout (KO) mouse model was successfully established.

Bmp9 knockout (KO) mouse model was successfully established....Compuscript Ltd

Potential mechanism and validation of knocking out Bmp9 to inhibit cell proliferation and intercellular junctions.

Potential mechanism and validation of knocking out Bmp9 to inhibit cell proliferation and intercellular junctions....Compuscript Ltd

Ablation of Bmp9 reduces cell proliferation and enhances intercellular junctions in HERS.

Ablation of Bmp9 reduces cell proliferation and enhances intercellular junctions in HERS....Compuscript Ltd

miR-378 was involved in TGFβ impaired osteogenesis in osteoporotic mice.

miR-378 was involved in TGFβ impaired osteogenesis in osteoporotic mice....Compuscript Ltd

Anti-miR-378 lentivirus injection rescued ovariectomy induced bone loss in miR-378 Tg mice.

Anti-miR-378 lentivirus injection rescued ovariectomy induced bone loss in miR-378 Tg mice....Compuscript Ltd

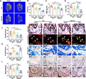
miR-378 overexpression accelerated bone loss upon ovariectomy.

miR-378 overexpression accelerated bone loss upon ovariectomy....Compuscript Ltd

Deer sleeping in Busey Woods

Deer sleeping in Busey WoodsUniversity of Illinois at Urbana-Champaign, News Bureau

Research team stands on an observation deck overlooking a wetland

Research team stands on an observation deck overlooking a wetland...University of Illinois at Urbana-Champaign, News Bureau

  • 127
  • 128
  • 129
  • 130
  • 131

EurekAlert! The Global Source for Science News

AAAS - American Association for the Advancement of Science

Copyright © 2025 by the American Association for the Advancement of Science (AAAS)

  • facebook.com/EurekAlert
  • @EurekAlert
  • youtube.com/EurekAlert

  • Help / FAQ
  • Services
  • Eligibility Guidelines
  • Contact EurekAlert!
  • Terms & Conditions
  • DMCA
  • Privacy Policy
  • Disclaimer

Copyright © 2025 by the American Association for the Advancement of Science (AAAS)