Liver Cells (IMAGE)
Caption
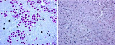
The large globules in the liver cells on the left are characteristic of alpha-1-antitrypsin deficiency. The image on the right shows normal liver cells.
Credit
none
Usage Restrictions
Washington University in St. Louis provides this image for free use by media for purposes of news coverage; all other uses are prohibited.
License
Licensed content