Histopathological features of ovarian leiomyomas. (IMAGE)
Caption
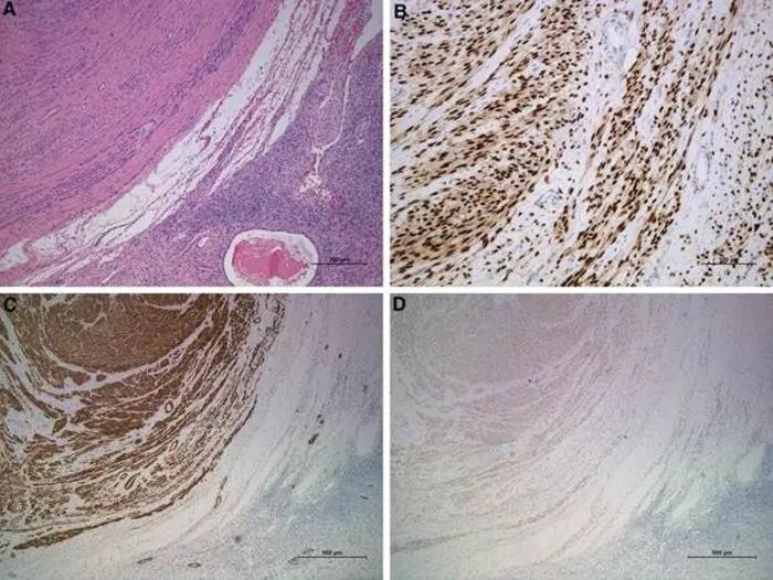
Histopathological features of ovarian leiomyomas. (A) Ovarian leiomyoma cells exhibit high proliferation, arranged in long spindle shapes, forming fascicular, whorled, and woven patterns. (B) The immunohistochemistry progesterone receptor of ovarian leiomyoma is positive. (C) The tumor tissue showed positive expression of Cal Desmon protein in immunohistochemical testing. (D) Immunohistochemical desmin positivity in ovarian leiomyoma suggests that the tumor is likely associated with muscle tissue and largely points to the possibility of leiomyoma.
Credit
Lu, Ying-Ying; Wang, Lu; Ye, Xin-Hong; Zhang, Wei.
Usage Restrictions
Credit must be given to the creator. Only noncommercial uses of the work are permitted. No derivatives or adaptations of the work are permitted.
License
CC BY-NC-ND