Hypocampus (IMAGE)
Caption
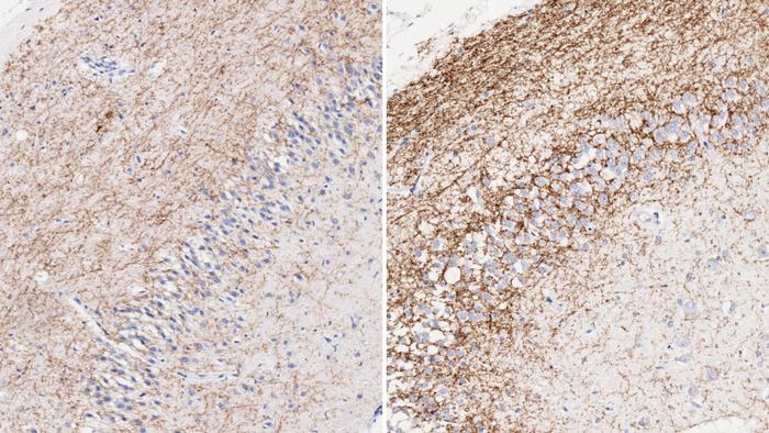
Detail of the hippocampus of control subjects (left) and with Down syndrome (right) where the CBR1 receptor is observed in brown and the nuclei of neurons in lilac.
Credit
Pompeu Fabra University
Usage Restrictions
none
License
Original content