Imaging progression patterns by histologic subtype. (IMAGE)
Caption
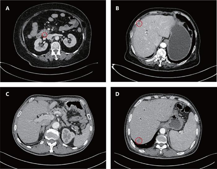
Imaging progression patterns by histologic subtype. Pancreatobiliary subtype: (A) Primary tumor (red circle); (B) Liver metastasis (red circle) detected 7.9 months postoperatively. Intestinal subtype: (C) No progression at 10 months; (D) New liver metastases (red circle) at 31.7 months. Significant PFS difference (P < 0.001).
Credit
Cancer Biology & Medicine
Usage Restrictions
Credit must be given to the creator. Only noncommercial uses of the work are permitted.
License
CC BY-NC