Effect of MD-1 on TNF-α infiltration in epididymal fat pads (IMAGE)
Caption
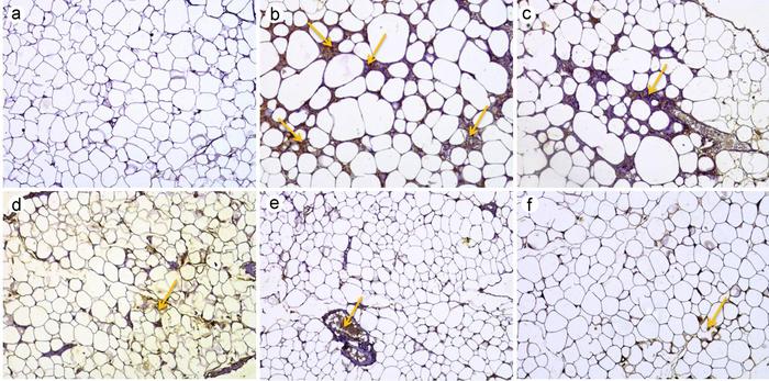
Tissue sections were incubated with rabbit polyclonal anti-TNF-α antibody, followed by HRP-conjugated goat anti-rabbit polyclonal secondary antibody. The protein was visualized by hematoxylin counterstain. Representative photomicrographs were shown at ×100. (a) Normal pellet diet control- Normal adipose tissue architecture; (b) HFD control – Presence of adipose tissue hypertrophy and increased TNF-α infiltration; (c) HFD+MD-1(100 mg/kg b.wt) – Presence of adipose tissue hypertrophy and increased TNF-α infiltration; (d) HFD+MD-1(300 mg/kg b.wt) – Moderate decrease in adipose tissue hypertrophy and TNF-α infiltration; (e) HFD+MD-1 (500 mg/kg b.wt)- Normal adipose tissue architecture and decreased TNF-α infiltration; (F) HFD + Metformin (500 mg/kg b.wt) – Normal adipose tissue architecture and no TNF-α infiltration. ANOVA, analysis of variance; HFD, high-fat diet; HRP, horse radish peroxidase; SEM, standard error mean; TNF-α, tumor necrosis factor alpha.
Credit
Mangathayaru Kalachaveedu
Usage Restrictions
Credit must be given to the creator. Only noncommercial uses of the work are permitted.
License
CC BY-NC