A case of adenosquamous pancreatic cancer with a KRAS G12C mutation with an exceptional response to immunotherapy (IMAGE)
Caption
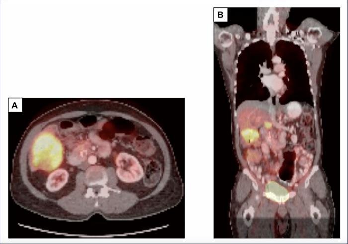
Figure 1: PET-CT scan at our institution prior to staring sotorasib demonstrates an 8.2 cm mass in the right inferior lobe of the liver with a SUV of 10.8 (A, B) and a 2.7 cm pancreatic head mass with a SUV of 5.8 (B). Abbreviations: PET: positron emission tomography; CT: computed tomography.
Credit
2024 Ahmed et al.
Usage Restrictions
Original content
License
Original content